駐車場ありJR南武線「矢野口駅」徒歩4分
- 緊急の際は
お電話ください - 042-379-7040










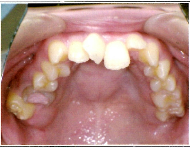
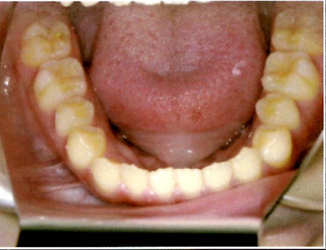
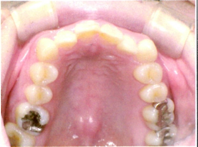
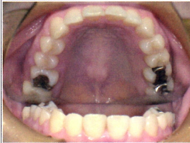
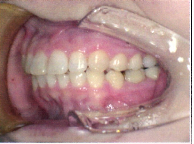
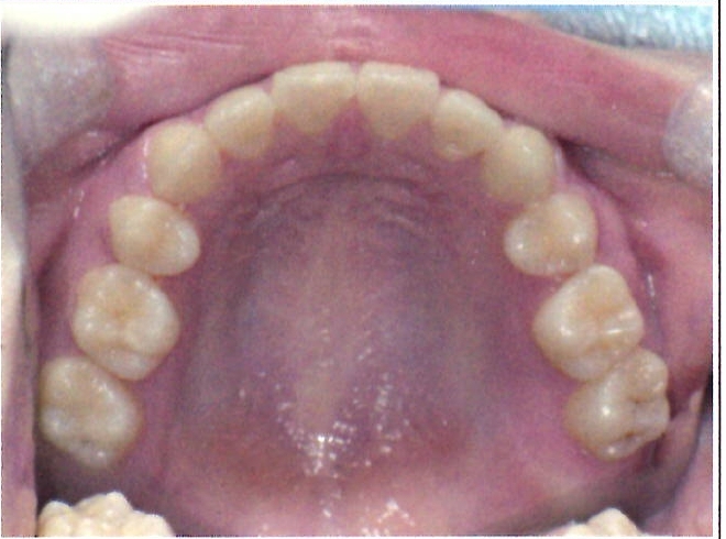
| 主訴・治療前の状態 | 著しい叢生(歯並びのガタガタ)があり、また6歳臼歯(第一大臼歯)が破折していた状態でした。 |
| 治療内容 | 通常の抜歯矯正では第一小臼歯(4番)を抜歯することが多く、その方が治療期間を短縮できますが、小川さんの場合は破折していた6歳臼歯を抜歯し、そのスペースを活用して歯列を整えました。これにより、健康な歯の本数を維持しながら矯正治療を行うことができました。 |
| 治療結果 | 治療前と比較して歯並びが大きく改善し、見た目も大幅に良くなりました。患者様にも大変喜んでいただけた症例です。 |










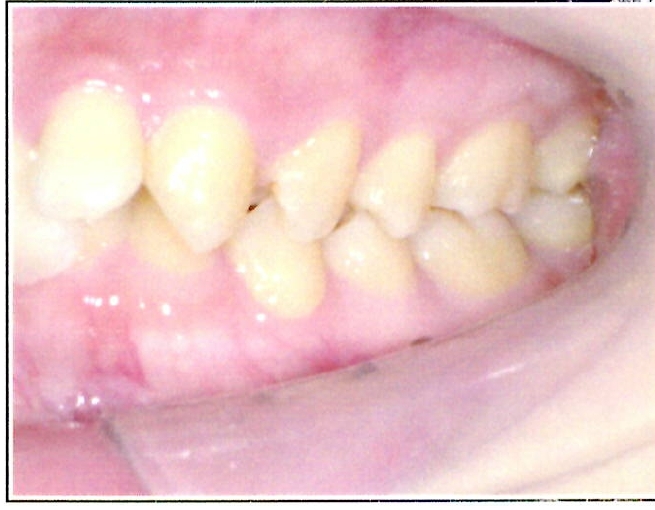
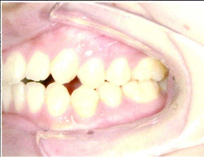
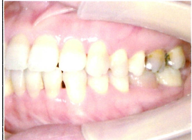
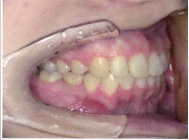
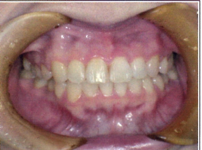
| 主訴・治療前の状態 | 前歯が噛み合っていない状態(開咬傾向)で、犬歯がやや前方に突出しており、見た目にお悩みがありました。 |
| 治療内容 | 上下左右の第一小臼歯(4番)計4本を抜歯し、そのスペースを利用して歯列を整え、前歯の噛み合わせを改善しました。 |
| 治療結果 | 前歯がしっかり噛み合うようになり、見た目も美しく整いました。患者様の満足度が非常に高かった症例です。 |










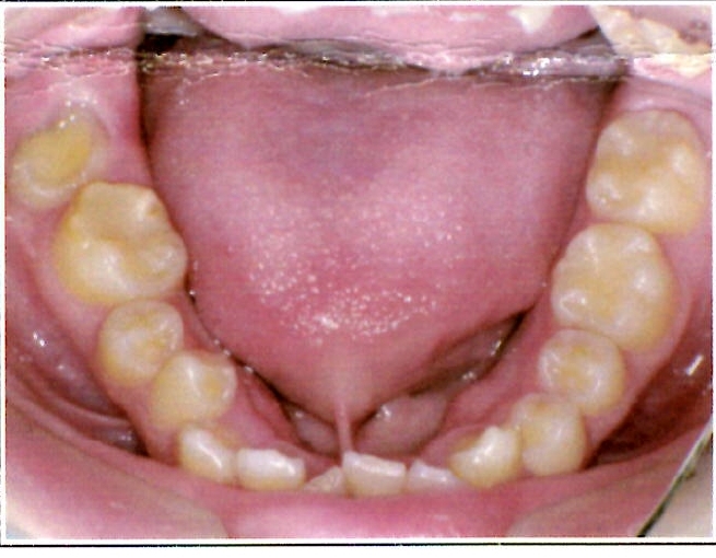
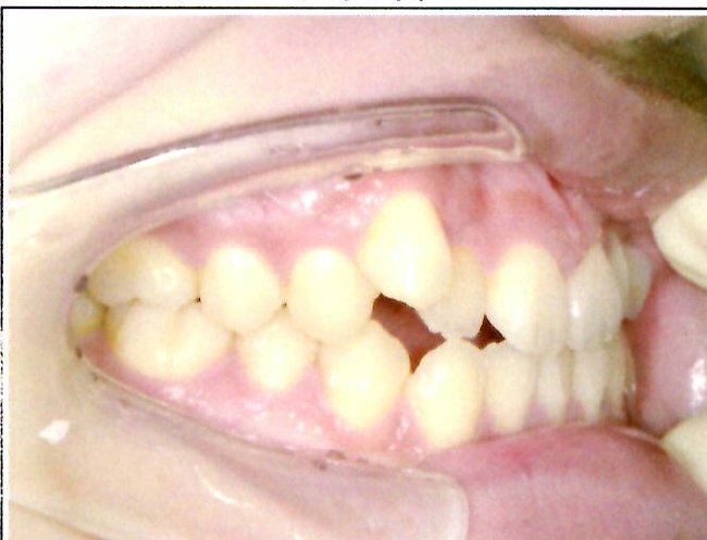
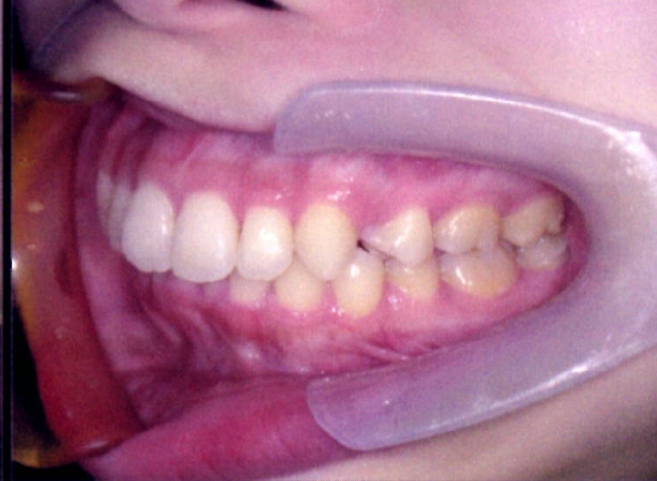
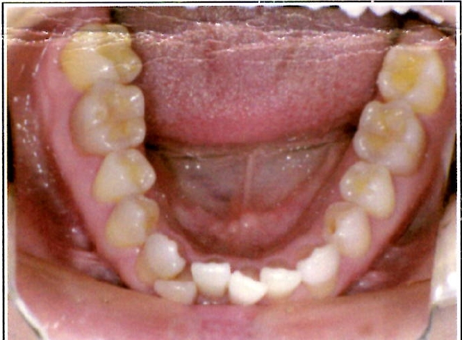
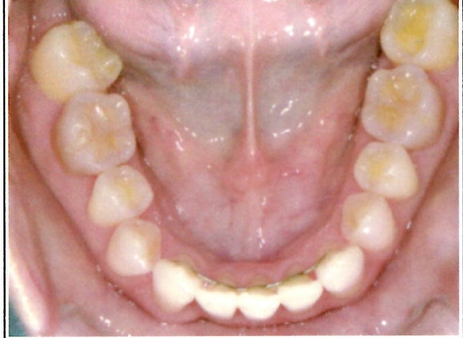
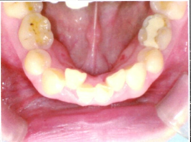
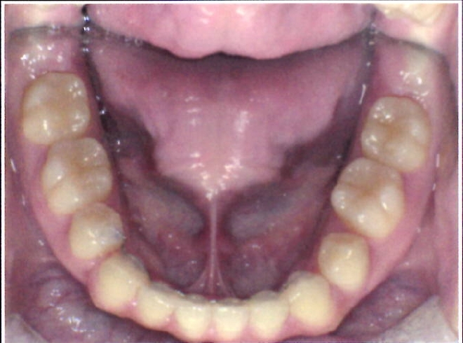
| 主訴・治療前の状態 | 下顎前歯部に叢生(ガタガタ)があり、歯ブラシが届きにくく清掃性に問題がありました。また、見た目も気にされていました。 |
| 治療内容 | 下顎前歯を1本のみ抜歯し、歯列を整えました。治療に際しては、ブラックトライアングル(歯と歯の間の歯茎部分に三角形の隙間ができること)が生じる可能性について事前に説明し、患者様にご了承いただいた上で治療を開始しました。 |
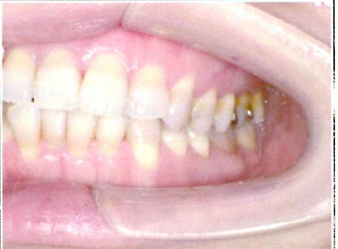
| 治療結果 | 予定通りの仕上がりとなり、事前説明の通りブラックトライアングルは生じましたが、患者様には十分ご理解いただいており、満足度の高い結果となりました。 |










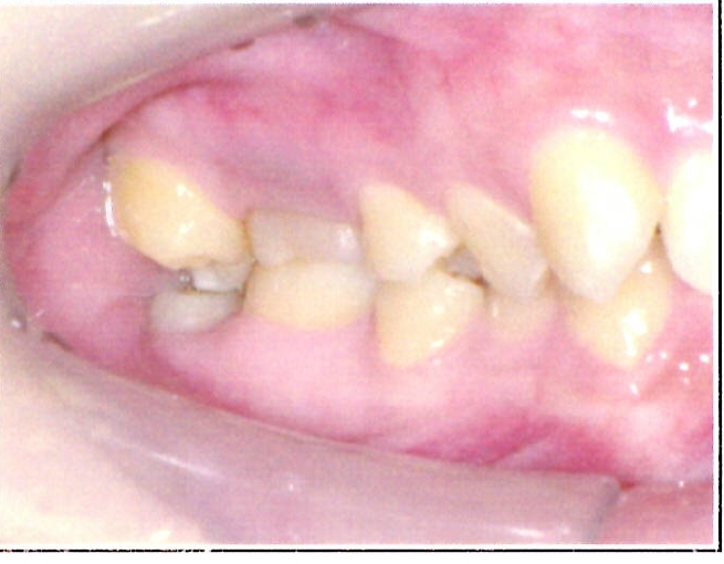
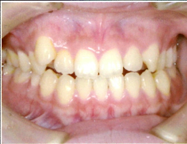
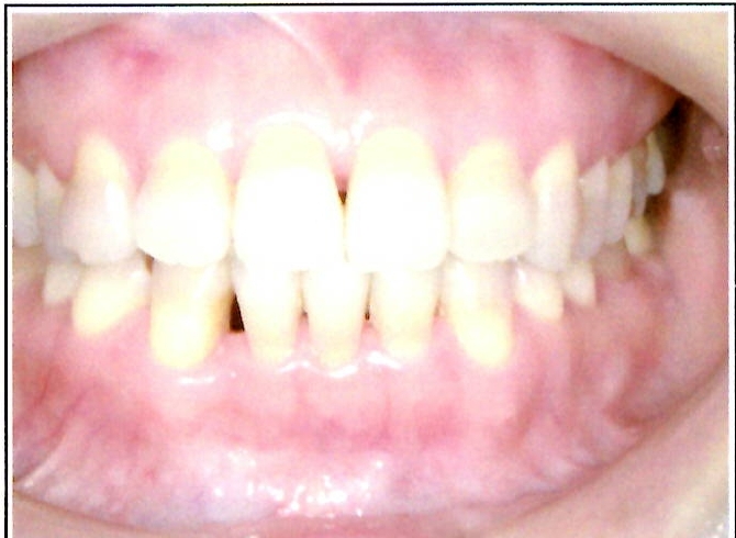
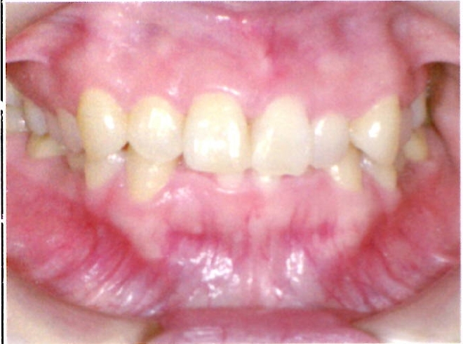
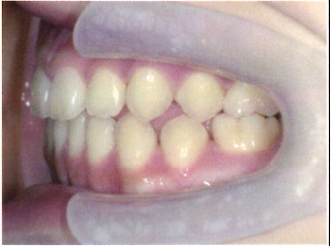
| 主訴・治療前の状態 | 過蓋咬合(噛み合わせが深く、下の前歯が見えない状態)により歯ぎしりができない状態でした。また、上下顎前歯部に叢生(クラウディング・ガタガタ)がありました。 |
| 治療内容 | 矯正治療により、過蓋咬合と上下の叢生を改善しました。 |
| 治療結果 | 適切な被蓋(上下の前歯の重なり)が得られ、下の前歯がきちんと見えるようになりました。上下の前歯の歯並びも美しく整い、しっかりと噛み合うようになりました。機能面・審美面ともに大きく改善した症例です。 |

初診の方は問診票を記入してお持ち頂くとスムーズです。PDFダウンロード(914KB)
| 診療時間 | 月 | 火 | 水 | 木 | 金 | 土 | 日/祝 |
|---|---|---|---|---|---|---|---|
| 9:00〜12:30 | ● | ● | 休 | ● | ● | ● | 休 |
| 14:00〜18:30 | ● | ● | 休 | ● | ● | ▲ | 休 |
稲城市で歯科治療なら「まつもと歯科クリニック」まで。
審美歯科・矯正歯科・小児歯科もお気軽にご相談下さい。
JR南武線「矢野口駅」より徒歩4分、朝9時から診療。